- El estudio identifica el gen Prrx1 como regulador clave del potencial metastásico en tumores de cáncer de mama.
- Este trabajo, publicado en Nature Communications, abre nuevas vías para identificar tumores con alto riesgo de desarrollar metástasis y puede mejorar la clasificación de pacientes con cáncer de mama.
Comprender qué células de un tumor formarán metástasis es uno de los grandes retos de la investigación oncológica. Un estudio del laboratorio de Plasticidad Celular en Desarrollo y Enfermedad, dirigido por Ángela Nieto en el Instituto de Neurociencias (IN), centro mixto del Consejo Superior de Investigaciones Científicas (CSIC) y la Universidad Miguel Hernández de Elche (UMH), aporta una respuesta inesperada: las células que darán lugar a metástasis pueden identificarse dentro del tumor primario. El estudio, publicado en Nature Communications, combina el análisis de un modelo de ratón de cáncer de mama con datos de pacientes. Los resultados muestran que en el borde invasivo del tumor existe una población concreta de células capaz de invadir y, al mismo tiempo, dividirse o entrar en estado de letargo. Este equilibrio determina que las células que se escapan del tumor puedan o no iniciar nuevos focos tumorales en órganos distantes, las temidas metástasis.
El equipo de Nieto ha trabajado durante décadas en el proceso de transición epitelio-mesénquima (EMT), un programa que controla la migración celular durante el desarrollo embrionario y que se reactiva en los tumores para diseminar las células cancerosas y formar metástasis. En este nuevo estudio, los investigadores avanzan un paso más al demostrar que la capacidad metastática no surge por azar ni depende únicamente del microambiente del órgano de destino. Por el contrario, el potencial metastásico ya está determinado en un conjunto de células presentes en el tumor que origina el cáncer, que adoptan un estado altamente metastásico coordinado por un factor clave: el gen Prrx1.
Un regulador clave de la metástasis
Según explica Raúl Jiménez Castaño, primer autor del estudio, el gen Prrx1 actúa como un auténtico regulador maestro del comportamiento tumoral. “Recientemente descubrimos que Prrx1 era crucial para la diseminación del cáncer y, gracias a este trabajo, ahora sabemos que no solo activa los programas que permiten a las células desprenderse del tumor primario, sino que también controla su capacidad de dividirse y formar metástasis o, por el contrario, entrar en un estado de letargo que puede durar años”, señala.
“Lo más llamativo es que la cantidad de Prrx1 determina el efecto sobre las células cancerosas”, añade Nieto. Este hallazgo ayuda a explicar una paradoja observada en muchos tumores: las células muy invasivas no siempre generan metástasis, y las más proliferativas tampoco suelen diseminarse.

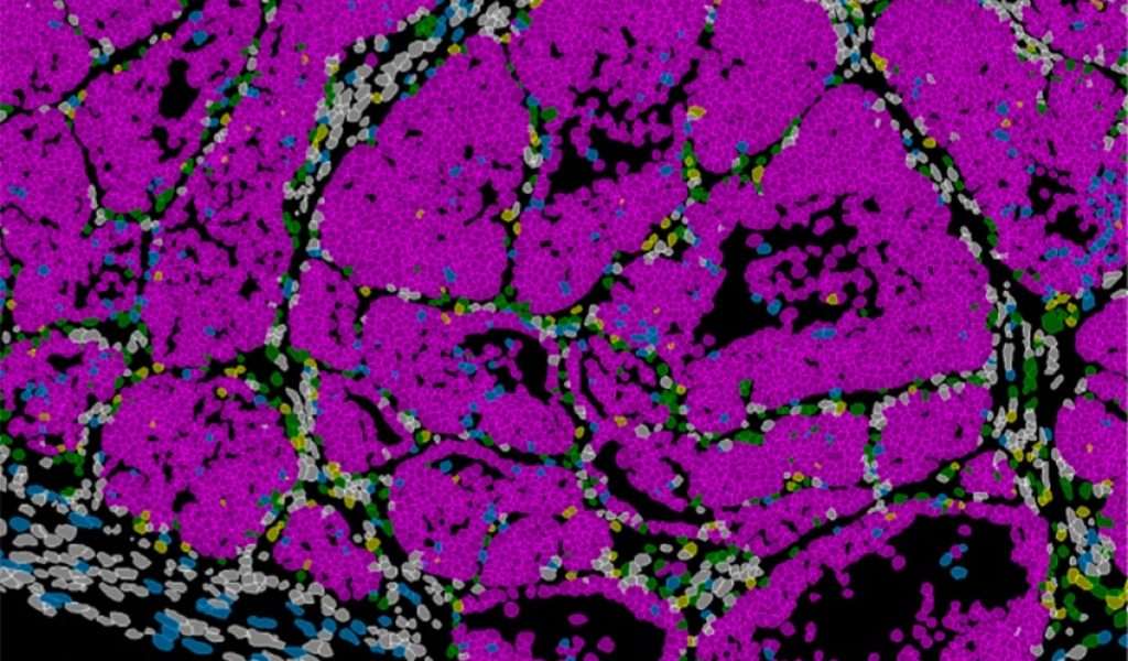
Imagen de un tumor de mama en ratón que muestra las distintas poblaciones celulares (células cancerosas en rosa). Tecnologías avanzadas de biología espacial permiten la identificación simultánea de todos los tipos celulares presentes en el tejido. Fuente: IN CSIC-UMH.
“Sin Prrx1, las células no se diseminan; con niveles muy altos, se diseminan masivamente, pero pierden la capacidad de anidar y crecer en otros órganos. Sólo cuando presentan niveles intermedios alcanzan un equilibrio óptimo entre movilidad y crecimiento” explica la experta. En esas condiciones, las células combinan invasión y división celular, lo que las convierte en las más peligrosas desde el punto de vista clínico.
Para llegar a estas conclusiones, el equipo combinó modelos genéticos en ratón, análisis de célula única, estudios de cromatina y técnicas de transcriptómica espacial que permiten observar la organización y el comportamiento de las células directamente en el tejido tumoral. El procesamiento y análisis de los datos generados a partir de miles de células estuvo liderado por el experto en bioinformática del equipo de Nieto, el investigador Nitin Narwade. Además, en colaboración con la catedrática Gema Moreno Bueno, de la Universidad Autónoma de Madrid y la Fundación MD Anderson Cancer Center España, los investigadores analizaron muestras de pacientes con cáncer de mama y detectaron patrones similares de expresión de Prrx1, lo que sugiere que el mecanismo descrito podría tener una relevancia directa en la clasificación y el pronóstico clínico.
En conjunto, los resultados aportan una nueva perspectiva sobre el origen del potencial metastático y abren la puerta al desarrollo de estrategias destinadas a impedir que las células tumorales alcancen ese estado particularmente peligroso. Asimismo, proporcionan un marco para mejorar la clasificación de pacientes mediante la identificación de marcadores capaces de predecir el riesgo de metástasis.
A hormetic transcriptional program coregulates invasion, proliferation and dormancy to define metastatic potential. Jiménez-Castaño, R., Narwade, N., Moreno-Bueno, G., Sánchez-Laorden, B., Galcerán, J., Youssef, K.K. and Nieto, M.A. Nature Communications (2026) 17, 3425.
DOI: https://doi.org/10.1038/s41467-026-70242-4
Fuente: Instituto de Neurociencias CSIC-UMH / in.umh-csic.es