Estas proteínas infecciosas desafían las reglas de la biología

Comparta esta publicación:

Durante décadas, la biología moderna ha sostenido una premisa fundamental: los agentes infecciosos necesitan material genético para replicarse. Sin embargo, en los años 80, un descubrimiento revolucionó esta noción. Los priones, proteínas mal plegadas capaces de causar enfermedades neurodegenerativas fatales, rompieron con las reglas establecidas, desafiando el dogma central de la biología molecular.

¿Qué son los priones?

Los priones (del inglés proteinaceous infectious particles) son proteínas anómalas que tienen la capacidad única de inducir el mal plegamiento de otras proteínas normales de su misma clase. A diferencia de virus, bacterias y otros patógenos, los priones no contienen ADN ni ARN. Su forma patológica convierte a las proteínas sanas en versiones mal plegadas, propagando la enfermedad como una reacción en cadena.

Mecanismo de acción: ¿Cómo infecta una proteína?

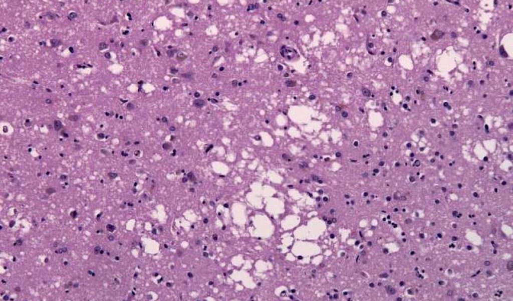
En condiciones normales, la proteína priónica (PrP^C) se encuentra en la superficie de las células nerviosas y cumple funciones aún no del todo comprendidas. Pero cuando esta proteína sufre un cambio estructural y se transforma en PrP^Sc (forma scrapie), adopta una conformación rica en láminas beta, mucho más resistente a la degradación celular. Al entrar en contacto con proteínas normales, la PrP^Sc las transforma en copias mal plegadas, acumulándose en el tejido cerebral y formando placas que llevan a la muerte neuronal y a la degeneración progresiva del sistema nervioso.

Enfermedades priónicas: una amenaza silenciosa

Las enfermedades priónicas, también conocidas como encefalopatías espongiformes transmisibles (EET), afectan tanto a humanos como a animales. Algunas de las más conocidas incluyen:

-En humanos:

-Enfermedad de Creutzfeldt-Jakob (ECJ): forma esporádica, hereditaria o iatrogénica.

-Variante de ECJ (vECJ): relacionada con el consumo de carne infectada por encefalopatía espongiforme bovina (EEB o “mal de las vacas locas”).

-Insomnio familiar fatal: enfermedad genética extremadamente rara.

-Síndrome de Gerstmann-Sträussler-Scheinker (GSS).

-En animales:

-Scrapie: afecta a ovejas y cabras.

-Encefalopatía espongiforme bovina (EEB): en ganado bovino.

-Caquexia crónica (CWD): en ciervos y alces, una creciente preocupación en América del Norte.

Transmisión y prevención

La transmisión de priones no ocurre como en otros patógenos. No hay contagio aéreo o por contacto casual. Se han documentado casos de transmisión por:

-Consumo de tejido infectado (como en la vECJ).

-Procedimientos médicos con instrumentos contaminados.

-Mutaciones genéticas heredadas.

La resistencia de los priones a métodos convencionales de esterilización y desinfección plantea grandes desafíos en entornos médicos. A diferencia de bacterias o virus, los priones pueden resistir temperaturas elevadas, radiación UV, y muchos agentes químicos.

Investigación y retos científicos

La investigación sobre priones sigue siendo uno de los campos más complejos y enigmáticos de la biomedicina. Algunos de los retos actuales incluyen:

-Diagnóstico precoz: Las enfermedades priónicas suelen diagnosticarse en etapas avanzadas.

-Tratamiento: Actualmente, no existe cura ni tratamiento efectivo para las enfermedades causadas por priones.

-Prevención en alimentos: El control sanitario del ganado y las restricciones sobre piensos animales son claves para evitar nuevas epidemias como la de las “vacas locas”.

Además, recientes estudios sugieren que mecanismos priónicos podrían estar involucrados en enfermedades como el Alzheimer y el Parkinson, lo que abriría nuevas líneas de investigación sobre el plegamiento anómalo de proteínas en general.

Los priones nos obligan a replantear lo que entendemos por “vida” y “enfermedad”. Son un recordatorio de que la biología aún guarda muchos secretos y que las proteínas, moléculas esenciales para la vida, pueden volverse letales si pierden su estructura adecuada. A medida que la ciencia avanza, comprender a fondo a estos peculiares agentes infecciosos será clave para prevenir futuras crisis sanitarias y explorar nuevos tratamientos en enfermedades neurodegenerativas.

A medida que la ciencia avanza, comprender a fondo a estos peculiares agentes infecciosos será clave para prevenir futuras crisis sanitarias y explorar nuevos tratamientos en enfermedades neurodegenerativas.

Fuente: elmundoalinstante.com

De Gemelos Digitales a Biopsias Virtuales: La Nueva Era de la IA en la Asistencia Clínica

El Cambio de Paradigma A inicios de 2026, la medicina clínica se encuentra en un…

Un estudio del CSIC sugiere que la microbiota intestinal puede influir en la salud cognitiva en el envejecimiento

Los investigadores proponen que modificar la microbiota a través de cambios en la dieta podría…

Científicos de la UCLA desarrollan una inmunoterapia universal para el cáncer de páncreas

El cáncer de páncreas es uno de los tipos de cáncer más mortales, y la…

La Terapia Génica con CRISPR: Revolución en la Medicina de Precisión

La terapia génica ha sido por décadas uno de los grandes retos y promesas de…

Rejuvenecer la sangre: una nueva estrategia farmacológica dirigida a RhoA en células madre hematopoyéticas

El envejecimiento, entendido como el deterioro funcional y estructural del cuerpo humano a lo largo…

Chips de silicio en el cerebro: Investigadores anuncian una nueva generación de interfaz cerebro-computadora

Fabricado como un solo chip, el nuevo implante es órdenes de magnitud más rápido y…